Prenatal Care Today

A traumatic and expensive problem.

Reducing the severe effects of preterm birth requires early, accurate identification and early intervention by providers and patients. Traditional diagnosis depends on the skill and experience of providers but current medical knowledge of risk factors for preterm birth are insufficient to identify the majority of preterm deliveries. In fact, 50% of women who deliver prematurely have no known risk factors.

img
~400,000
preterm births/yr. in the U.S.
(<37 weeks)
1 million children die
every year from preterm birth complications, globally
Adds $30B/year
to U.S. healthcare costs
The Potential for Tomorrow

A revolutionary new standard.

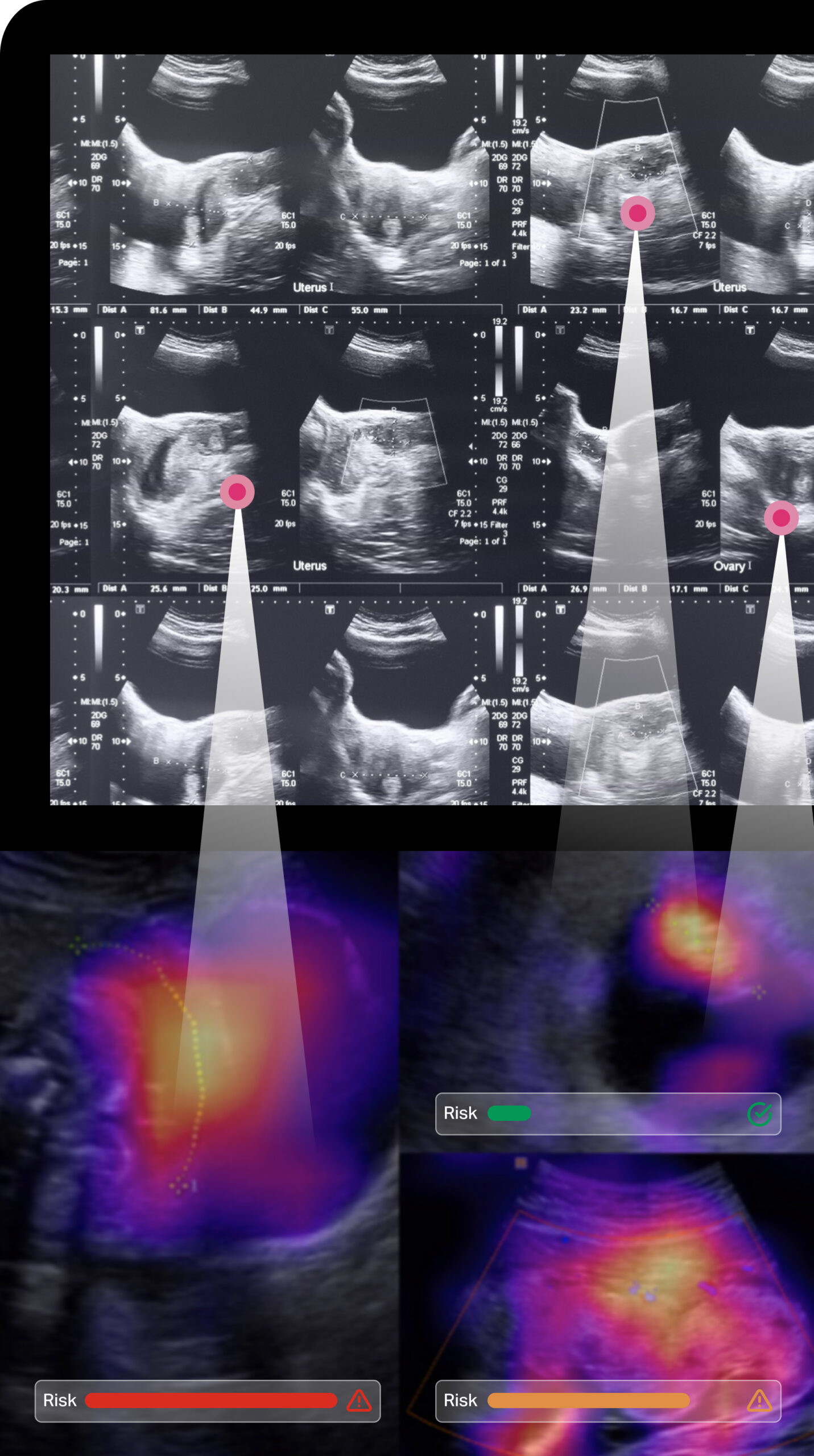
Preterm AI, our first product, has been trained by over four million ultrasound images using advanced neural networks. It has the potential to radically change prenatal care by identifying those women at risk for preterm labor who would have been missed and giving providers near-instant and updated feedback on their patients’ statuses with regards to specific disease processes.

img

The Preterm AI platform empowers clinicians to improve outcomes.

Learn More
Passion and Dedication Driven by Science

Supporting the standard of care for providers and patients.

The strength of our team is what defines us.
Learn More

News & insights.